X-Ray For Shoulder Dislocation: A Comprehensive Guide

T.Beswifty 56 views
X-Ray For Shoulder Dislocation: A Comprehensive Guide

X-Ray for Shoulder Dislocation: A Comprehensive Guide

Hey guys! If you’ve ever dislocated your shoulder, you know how painful and scary it can be. One of the first things doctors often do is order an X-ray to assess the damage. But what exactly are they looking for, and what can you expect from the process? Let’s dive into the world of X-rays and shoulder dislocations to give you a clear understanding of what’s involved.

Understanding Shoulder Dislocation

Before we jump into the X-ray part, let’s quickly recap what a shoulder dislocation actually is. The shoulder joint is a ball-and-socket joint, where the head of the humerus (the ball) fits into the glenoid fossa (the socket) of the scapula (shoulder blade). A dislocation occurs when the head of the humerus pops out of the glenoid fossa. This can happen due to a sudden impact, a fall, or even certain movements if you have a history of instability. When this happens, immediate medical attention is crucial . You’ll likely experience intense pain, limited movement, and the shoulder might even look visibly out of place. And that’s where X-rays come into play.

Why X-Rays Are Essential for Diagnosing Shoulder Dislocation

So, why is an X-ray the go-to imaging technique for a dislocated shoulder? Well, it’s pretty simple. X-rays are fantastic for visualizing bones. They use electromagnetic radiation to create images of the dense structures in your body, like bones. This allows doctors to see the position of the humerus relative to the glenoid fossa and confirm whether a dislocation has occurred. But the benefits go beyond just confirming the dislocation. X-rays also help in identifying any associated fractures. Sometimes, when the shoulder dislocates, it can cause a break in the bones around the joint. These fractures can significantly impact the treatment plan, so it’s crucial to identify them early on. Think of it like this: the X-ray gives the doctor a clear roadmap of what’s going on inside your shoulder, helping them to make the best decisions for your care.

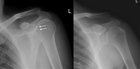
What the X-Ray Shows

When the X-ray image is developed, the doctor will be looking for several key things. First and foremost, they want to see if the head of the humerus is indeed out of its socket. A normal shoulder X-ray will show the head of the humerus sitting snugly within the glenoid fossa. If it’s dislocated, the humerus will be displaced, often sitting in front of or below the socket. Secondly, they’ll be on the lookout for fractures. Fractures can occur in the humerus itself, the glenoid, or even the clavicle (collarbone), which is closely connected to the shoulder joint. The X-ray can reveal the type and severity of these fractures, which is vital information for planning treatment. Lastly, the X-ray can sometimes show other issues, such as pre-existing conditions like arthritis or bone spurs, which might influence the management of the dislocation. So, it’s a really comprehensive look inside your shoulder!

The X-Ray Procedure: What to Expect

Okay, let’s walk through what actually happens when you get an X-ray for a suspected shoulder dislocation. Knowing what to expect can ease any anxiety you might have about the process. The procedure itself is generally quick and painless, but being prepared always helps.

Before the X-Ray

Before you head into the X-ray room, there are a few things you should know. First, let your doctor or the technician know if you are pregnant or think you might be. X-rays use radiation, and while the amount is generally considered safe, it’s important to take precautions during pregnancy. You’ll also be asked to remove any jewelry, metal objects, or clothing that might interfere with the X-ray image. This might mean changing into a gown. It’s also a good time to ask any questions you have about the procedure. The more informed you are, the more comfortable you’ll feel.

During the X-Ray

When it’s time for the X-ray, you’ll be guided into a special room that houses the X-ray machine. The technician will position you carefully, ensuring that your shoulder is in the correct position for the images. You might need to stand, sit, or lie down, depending on the specific views the doctor needs. The technician might place lead aprons or shields over parts of your body that don’t need to be X-rayed. These shields help to minimize radiation exposure. During the X-ray, you’ll need to stay as still as possible. Movement can blur the image, making it harder to read. The technician will step behind a protective barrier and activate the machine. You might hear a whirring or clicking sound – that’s perfectly normal. The X-ray itself takes only a fraction of a second. Usually, multiple views are taken from different angles to get a complete picture of the shoulder joint. So, the process might be repeated a few times.

After the X-Ray

Once all the necessary images are taken, you’re all done! There’s no downtime or special care required after an X-ray . You can go about your day as usual. The X-ray images will be reviewed by a radiologist, a doctor who specializes in interpreting medical images. The radiologist will then send a report to your doctor, who will discuss the results with you. This usually takes a day or two, but it can vary depending on the facility. Your doctor will explain what the X-ray showed, whether you have a dislocation or any fractures, and what the next steps in your treatment plan will be. Remember, the X-ray is just one piece of the puzzle. Your doctor will consider your symptoms, medical history, and the X-ray findings to make the most accurate diagnosis and create the best treatment plan for you.

Interpreting X-Ray Results for Shoulder Dislocation

Alright, so you’ve had your X-ray , and the results are in. Now, what do those images actually mean? Let’s break down how doctors interpret X-ray results when it comes to shoulder dislocations. Understanding the key findings can help you better grasp your situation and have more informed discussions with your healthcare provider.

Identifying a Dislocation

The primary goal of an X-ray in this scenario is to confirm whether a dislocation has occurred. A normal shoulder joint will show the head of the humerus (the ball) sitting neatly within the glenoid fossa (the socket). When a dislocation is present, the head of the humerus will be displaced, meaning it has popped out of the socket. The X-ray will clearly show this displacement. There are different types of shoulder dislocations, most commonly anterior (where the humerus moves forward) and posterior (where the humerus moves backward). The X-ray will help identify the direction of the dislocation, which is important for guiding treatment. It’s like having a map that shows exactly where the ball has rolled off the track. This visual confirmation is crucial for accurate diagnosis and planning the reduction (putting the shoulder back in place).

Detecting Fractures

As we touched on earlier, X-rays are also essential for detecting any fractures that may have occurred along with the dislocation. The force that caused the shoulder to dislocate can sometimes lead to breaks in the bones around the joint. Fractures can occur in the humerus, the glenoid, or even the clavicle. These fractures can range from small chips to more significant breaks. Identifying these fractures is critical because they can significantly impact the treatment plan. For example, a simple dislocation might be treated with closed reduction (manipulating the shoulder back into place without surgery) and immobilization. However, if there’s a fracture, surgery might be necessary to stabilize the bones. The X-ray provides a detailed look at the bone structure, allowing the doctor to identify any fractures and assess their severity. Think of it as checking the foundation of a house – you want to make sure everything is structurally sound before proceeding.

Other Important Findings

Beyond dislocations and fractures, X-rays can sometimes reveal other important information about your shoulder joint. For example, they might show evidence of previous injuries or conditions, such as arthritis or bone spurs. These pre-existing conditions can influence the treatment approach for the dislocation. For instance, someone with arthritis might require a different rehabilitation plan compared to someone with a perfectly healthy joint. X-rays can also help assess the overall alignment and stability of the shoulder joint. This is important for predicting the likelihood of future dislocations and for guiding long-term management. So, the X-ray is not just about the immediate problem; it’s also about understanding the bigger picture of your shoulder health.

Treatment After X-Ray Diagnosis

So, the X-ray has confirmed a shoulder dislocation. What happens next? The treatment approach will depend on several factors, including the type and severity of the dislocation, the presence of any fractures, and your overall health. But generally, the first step is to reduce the dislocation, followed by a period of immobilization and rehabilitation.

Reduction: Putting the Shoulder Back in Place

The first order of business is to get that shoulder back where it belongs! This process is called reduction, and it involves manipulating the humerus back into the glenoid fossa. Reduction is typically performed by a doctor in the emergency room or an orthopedic clinic. There are several different techniques that can be used, and the choice will depend on the type of dislocation and the doctor’s preference. Some techniques involve gentle traction and rotation of the arm, while others might involve a bit more force. Before the reduction, you’ll likely be given medication to help relax your muscles and ease the pain. This can include pain relievers, muscle relaxants, or even a sedative. The goal is to make you as comfortable as possible during the procedure. Once the shoulder is back in place, you’ll likely feel immediate relief from the intense pain of the dislocation. Another X-ray might be taken after the reduction to confirm that the shoulder is properly aligned. Think of this as the “mission accomplished” photo, ensuring everything is back where it should be.

Immobilization: Giving the Shoulder Time to Heal

After the reduction, your shoulder will need time to heal. This typically involves immobilizing the arm in a sling or brace. Immobilization helps to prevent further dislocations and allows the ligaments and other tissues around the joint to heal properly. The duration of immobilization can vary, but it’s usually around 3 to 6 weeks. During this time, it’s important to follow your doctor’s instructions carefully. This might include wearing the sling at all times, even while sleeping, and avoiding certain movements that could put stress on the shoulder. While your shoulder is immobilized, you might be tempted to skip exercises altogether. However, gentle range-of-motion exercises can help prevent stiffness and maintain some muscle strength. Your doctor or a physical therapist can guide you on which exercises are safe to do during this phase. It’s all about finding the right balance between rest and gentle movement to promote healing.

Rehabilitation: Regaining Strength and Mobility

Once the period of immobilization is over, the real work begins: rehabilitation. Rehab is crucial for regaining full strength, mobility, and stability in your shoulder. It typically involves a structured exercise program guided by a physical therapist. The rehab program will likely include a combination of exercises to improve range of motion, strengthen the muscles around the shoulder, and improve proprioception (your sense of joint position). The exercises will gradually increase in intensity as your shoulder heals. Consistency is key when it comes to rehab. It’s important to do your exercises regularly and follow your physical therapist’s guidance. Rushing the process or skipping exercises can increase the risk of re-dislocation. Rehab is not just about fixing the immediate problem; it’s about building a strong and stable shoulder that can handle your daily activities and prevent future injuries.

Surgical Options

In some cases, surgery might be necessary to treat a shoulder dislocation. This is more likely if there are associated fractures, significant ligament damage, or if the shoulder has dislocated multiple times. Surgery can help to repair damaged tissues, stabilize the joint, and prevent future dislocations. There are several different surgical procedures that can be used, and the choice will depend on the specific issues in your shoulder. Arthroscopic surgery, a minimally invasive approach, is often used to repair ligaments and other soft tissues. Open surgery might be necessary for more complex cases, such as those involving fractures. The recovery from shoulder surgery can be longer and more involved than non-surgical treatment. However, surgery can be a very effective way to restore stability to the shoulder and allow you to return to your activities.

Conclusion

So, there you have it, a comprehensive guide to X-rays for shoulder dislocations! We’ve covered why X-rays are essential for diagnosis, what to expect during the procedure, how to interpret the results, and what treatment options are available. Remember, if you suspect you have a dislocated shoulder, seek medical attention promptly. An X-ray is a valuable tool that can help your doctor accurately diagnose your condition and develop the best treatment plan for you. And with the right care and rehabilitation, you can get back to using your shoulder with confidence!