Sleeping Sickness Treatment: What You Need To Know

T.Beswifty 77 views
Sleeping Sickness Treatment: What You Need To Know

Sleeping Sickness Treatment: What You Need to Know

Hey guys! Ever heard of sleeping sickness? It’s a pretty serious disease caused by those pesky tsetse flies. If you’re wondering about sleeping sickness treatment , you’ve come to the right place. Let’s dive deep into what this illness is, how it’s treated, and everything else you need to know.

What is Sleeping Sickness?

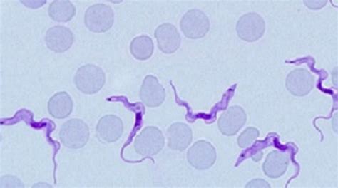
First off, let’s break down what sleeping sickness actually is. Sleeping sickness, also known as human African trypanosomiasis (HAT), is a parasitic disease transmitted by the tsetse fly. These flies are found in sub-Saharan Africa, and when they bite, they can inject trypanosomes into your bloodstream. These parasites are the culprits behind the illness, and trust me, you don’t want them hanging around.

The Two Stages of Sleeping Sickness

Sleeping sickness typically progresses in two stages:

  1. The Early Stage (Hemolymphatic Phase): This is when the parasites are chilling in your blood and lymphatic system. Symptoms at this stage can be pretty vague, like fever, headaches, itching, and swollen lymph nodes. It’s easy to mistake these symptoms for something else, which is why early diagnosis is super important.
  2. The Late Stage (Neurological Phase): If left untreated, the parasites make their way into your central nervous system, and that’s when things get serious. This is when the classic symptoms of sleeping sickness start to show, including confusion, disturbed sleep patterns (hence the name), and changes in behavior. If it gets really bad, it can lead to coma and even death. Scary stuff, right?

Why is Early Diagnosis Crucial?

Okay, so why am I making such a big deal about early diagnosis? Well, the earlier sleeping sickness is caught, the easier it is to treat. In the early stages, the medications are more effective and less toxic. Plus, you avoid the severe neurological damage that can occur in the later stages. Think of it like catching a cold early – you can knock it out before it turns into something worse.

How is Sleeping Sickness Diagnosed?

Diagnosing sleeping sickness involves a few steps. Doctors will typically start with a blood test to look for the parasites. If the blood test is positive, they might do a lumbar puncture (spinal tap) to check the cerebrospinal fluid. This helps determine if the infection has reached the central nervous system. It’s not the most fun procedure, but it’s crucial for figuring out the best course of treatment.

The Lowdown on Sleeping Sickness Treatment

Now, let’s get to the main event: sleeping sickness treatment . The treatment for sleeping sickness depends on the stage of the disease. Different drugs are used for the early and late stages, so accurate diagnosis is key. The good news is that there are effective treatments available, but they can have some pretty serious side effects, so they need to be administered and monitored by healthcare professionals.

Treatment for the Early Stage

In the early stage, the goal is to clear the parasites from the blood and lymphatic system before they invade the brain. The two main drugs used in this stage are pentamidine and suramin. Let’s take a closer look:

  • Pentamidine: This drug has been around for a while and is quite effective against Trypanosoma brucei gambiense , which is the type of parasite that causes sleeping sickness in West and Central Africa. Pentamidine is usually given as a series of injections, and while it’s generally well-tolerated, it can cause side effects like kidney problems and low blood sugar.
  • Suramin: Suramin is used to treat the early stage of Trypanosoma brucei rhodesiense , which is the form of the disease found in East and Southern Africa. Like pentamidine, suramin is given intravenously. Side effects can include nausea, vomiting, and neurological problems. Because of the potential for these side effects, patients need to be closely monitored during treatment.

Treatment for the Late Stage

Once the parasites have crossed the blood-brain barrier and entered the central nervous system, treatment becomes more complicated. The drugs used in the late stage need to be able to cross the blood-brain barrier to kill the parasites in the brain. The primary medications used in this stage are fexinidazole, melarsoprol, and eflornithine.

  • Fexinidazole: This is a newer oral medication that has shown a lot of promise in treating late-stage sleeping sickness caused by Trypanosoma brucei gambiense . It’s a game-changer because it’s taken as a pill rather than an injection, making it easier to administer, especially in remote areas. While fexinidazole is generally safer than some of the older drugs, it can still cause side effects like nausea and vomiting.

  • Melarsoprol: This drug is a real powerhouse, but it’s also pretty harsh. Melarsoprol is an arsenic-based medication and can have some serious side effects, including a life-threatening reaction called reactive encephalopathy. This involves inflammation of the brain and can lead to seizures, coma, and even death. Because of these risks, melarsoprol is typically reserved for cases where other treatments have failed or aren’t available.

  • Eflornithine: Eflornithine is another option for treating late-stage Trypanosoma brucei gambiense sleeping sickness. It’s less toxic than melarsoprol but can still cause side effects like anemia and seizures. Eflornithine is often used in combination with nifurtimox to improve its effectiveness and reduce treatment time.

The Challenges of Treating Sleeping Sickness

Treating sleeping sickness isn’t always a walk in the park. There are several challenges that healthcare providers face:

  • Accessibility: Sleeping sickness is primarily found in remote, rural areas of Africa, where access to healthcare can be limited. Getting patients diagnosed and treated can be a logistical nightmare.
  • Drug Availability: Some of the medications used to treat sleeping sickness are not widely available, and even when they are, they can be expensive. This can make it tough for people in affected areas to get the treatment they need.
  • Side Effects: As we’ve discussed, many of the drugs used to treat sleeping sickness can have serious side effects. This means that patients need to be closely monitored during treatment, which can be challenging in resource-limited settings.
  • Drug Resistance: Like any parasite, trypanosomes can develop resistance to medications over time. This is a growing concern, and researchers are constantly working to develop new and more effective treatments.

Prevention is Key: How to Avoid Sleeping Sickness

Okay, so treatment is important, but what about preventing sleeping sickness in the first place? Luckily, there are several steps you can take to reduce your risk of infection.

Tsetse Fly Control

The most obvious way to prevent sleeping sickness is to control the tsetse fly population. This can be done through a variety of methods, including:

  • Insecticide Spraying: Spraying insecticides in areas where tsetse flies are common can help reduce their numbers. This is often done on a large scale by governments and international organizations.
  • Traps and Targets: Tsetse flies are attracted to certain colors and shapes, so traps and targets can be used to lure and kill them. These traps are often baited with insecticides to maximize their effectiveness.
  • Biological Control: Another approach is to use biological control methods, such as releasing sterile male tsetse flies into the population. These sterile males mate with female flies, resulting in fewer offspring and a gradual reduction in the fly population.

Personal Protection

If you’re traveling to an area where tsetse flies are common, there are several steps you can take to protect yourself:

  • Wear Protective Clothing: Tsetse flies can bite through thin clothing, so it’s important to wear long sleeves and pants. Light-colored clothing is also a good idea, as tsetse flies are attracted to dark colors.
  • Use Insect Repellent: Apply insect repellent containing DEET to your skin and clothing. This can help deter tsetse flies and other biting insects.
  • Avoid Bushy Areas: Tsetse flies tend to hang out in bushy areas, so try to avoid these areas, especially during the hottest parts of the day when the flies are most active.
  • Use Bed Nets: If you’re sleeping in an area where tsetse flies are present, use a bed net to protect yourself from bites while you sleep.

The Future of Sleeping Sickness Treatment

So, what does the future hold for sleeping sickness treatment? There’s a lot of exciting research going on, and scientists are working hard to develop new and better ways to prevent and treat this disease.

New Drugs and Therapies

Researchers are constantly searching for new drugs that are more effective, less toxic, and easier to administer. One promising area of research is the development of drugs that can target the parasites’ metabolism, making them more vulnerable. There’s also work being done on vaccines, which could provide long-term protection against sleeping sickness.

Improved Diagnostics

Better diagnostic tools are also crucial. Scientists are working on developing rapid diagnostic tests that can be used in the field, making it easier to diagnose sleeping sickness in remote areas. These tests could help healthcare providers identify and treat cases more quickly, reducing the risk of severe complications.

Integrated Control Programs

Finally, there’s a growing emphasis on integrated control programs that combine different approaches to prevent and treat sleeping sickness. These programs might include tsetse fly control measures, surveillance for new cases, and improved access to diagnosis and treatment. By working together, we can make real progress in the fight against sleeping sickness.

Final Thoughts

Okay, guys, that was a lot of information about sleeping sickness treatment , but I hope it was helpful! Sleeping sickness is a serious disease, but with early diagnosis and proper treatment, it can be managed effectively. Remember, if you’re traveling to an area where tsetse flies are common, take precautions to protect yourself. And if you think you might have been exposed, see a doctor right away. Stay safe and healthy!

Disclaimer: This information is for educational purposes only and should not be considered medical advice. Always consult with a healthcare professional for diagnosis and treatment of any medical condition.