Pulmonary Interstitial Emphysema Radiology Explained

T.Beswifty 143 views
Pulmonary Interstitial Emphysema Radiology Explained

Pulmonary Interstitial Emphysema Radiology Explained

Hey everyone, and welcome back to the blog! Today, we’re diving deep into a topic that might sound a bit intimidating at first, but trust me, it’s super important for understanding how we diagnose certain lung conditions: Pulmonary Interstitial Emphysema (PIE) radiology . You might be wondering, “What exactly is PIE and why is its radiology so crucial?” Well, buckle up, because we’re about to break it all down in a way that’s easy to grasp, even if you’re not a seasoned medical pro. We’ll cover what PIE is, how it shows up on different imaging scans, and why radiologists are the MVPs in spotting this stuff. So, grab your favorite beverage, get comfy, and let’s get into it!

Understanding Pulmonary Interstitial Emphysema (PIE)

Alright guys, let’s start with the basics. Pulmonary Interstitial Emphysema (PIE) is a condition that primarily affects the lungs, particularly in infants, though it can occur in adults too. It’s characterized by the abnormal presence of air in the interstitial space of the lungs. Now, what’s the interstitial space? Think of it as the tissue and space around the air sacs (alveoli) in your lungs. Normally, this space is pretty tightly packed. But in PIE, air gets trapped outside these air sacs, in the supporting tissues. This can happen for various reasons, but it’s often seen in premature infants who have respiratory distress syndrome (RDS) and require mechanical ventilation. The high pressures and volumes used in ventilators can force air into the interstitial tissues, causing this issue. It’s a pretty serious condition because it can lead to lung collapse (atelectasis), impaired gas exchange (meaning your lungs can’t effectively get oxygen into your blood and carbon dioxide out), and sometimes even more severe complications. The key takeaway here is that PIE isn’t about the air sacs themselves being damaged or overfilled; it’s about air escaping into the surrounding structural framework of the lung. This subtle but significant difference is what makes its detection on imaging so important.

The Role of Radiology in Diagnosing PIE

So, why is radiology so darn important when it comes to PIE? Because, folks, it’s our primary tool for seeing this condition. The interstitial space isn’t something you can just eyeball. We need sophisticated imaging techniques to visualize where that air is accumulating and what impact it’s having on the rest of the lung structures. Radiologists, the super-smart doctors who interpret these images, are trained to spot the subtle signs of PIE. They look at X-rays, CT scans, and sometimes even MRIs to diagnose it. These images provide a roadmap of the lungs, highlighting areas of abnormality. Without radiology, diagnosing PIE would be incredibly difficult, often relying on clinical signs and symptoms alone, which can be ambiguous. Early and accurate diagnosis through radiology is critical for prompt treatment, which can significantly improve outcomes, especially for those tiny preemies. It allows doctors to adjust ventilation strategies, consider other interventions, and monitor the condition’s progression. Think of radiology as the detective work that uncovers the hidden clues of PIE within the complex landscape of the lungs. It’s all about providing a clear visual diagnosis so the medical team can act fast and effectively. The accuracy and detail provided by these imaging modalities are simply unmatched, making them indispensable in the management of PIE.

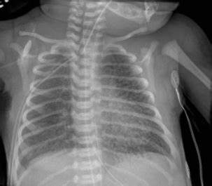
How PIE Appears on Chest X-rays

Okay, let’s get down to the nitty-gritty of how pulmonary interstitial emphysema radiology actually looks on a chest X-ray . This is often the first line of imaging used. When a radiologist looks at an X-ray of a patient with PIE, they’re scanning for specific patterns. One of the classic signs is the appearance of linear lucencies, which are essentially dark lines on the X-ray film. These lines represent air tracking within the interstitial tissues. Imagine tiny air bubbles or streaks running through the lung tissue, separate from the normal branching pattern of airways and blood vessels. Another key finding can be a ‘cystic’ or ‘bubble-like’ appearance, where larger pockets of air have accumulated in the interstitial space, sometimes looking like clusters of small balloons. You might also see signs of lung hyperinflation, where the lungs appear larger than normal, often because air is getting trapped. Sometimes, PIE can lead to a condition called pneumothorax, which is air in the space outside the lung, between the lung and the chest wall. This is a serious complication and appears as a dark space separating the lung from the chest wall on the X-ray. The diaphragm might also appear flattened due to the hyperinflation. It’s important to note that PIE can sometimes be subtle on an X-ray, especially in its early stages or if it’s mild. The radiologist has to be really vigilant and compare the current X-ray with previous ones if available to spot any changes. They’re looking for deviations from the normal, healthy lung pattern, and PIE creates a very distinct set of deviations. It’s a diagnostic puzzle, and the X-ray provides the primary pieces to solve it. The clarity and detail needed to spot these subtle linear lucencies and cystic changes are what make the radiologist’s expertise so vital in interpreting these seemingly simple images.

CT Scans: A Deeper Dive into PIE

While chest X-rays are great for initial screening, sometimes we need to bring out the big guns: Computed Tomography (CT) scans . When we talk about pulmonary interstitial emphysema radiology , CT scans offer a much more detailed and three-dimensional view of the lungs compared to a standard X-ray. Think of it like going from a flat map to a detailed topographical model. CT scans use X-rays taken from multiple angles to create cross-sectional images of the lungs. For PIE, this is a game-changer. Radiologists can clearly delineate the extent and distribution of air within the interstitial spaces. They can see those linear lucencies and cystic or bubbly areas with much greater precision. CT scans are particularly useful for identifying complications associated with PIE, such as the development of bronchopleural fistulas (abnormal connections between the airways and the pleural space) or mediastinal emphysema (air in the space surrounding the heart and lungs). They can also help differentiate PIE from other lung conditions that might look similar on an X-ray, like atelectasis (collapsed lung tissue) or pneumonia. In cases where PIE is suspected but not definitively seen on X-ray, a CT scan can provide the crucial confirmation. It allows for a more accurate assessment of lung volume, detects even tiny air leaks, and helps guide management by showing exactly where the problem areas are. For physicians managing patients with severe respiratory issues, especially those on ventilators, a CT scan is often the definitive diagnostic tool for PIE. It’s the gold standard for visualizing the complex anatomy of the lung and pinpointing the location and severity of air trapping in the interstitium. The ability to reconstruct the lung in thin slices allows for the identification of subtle air tracking that might be missed on plain radiography, making it an indispensable part of advanced PIE diagnostics.

Differential Diagnosis: What Else Could It Be?

Now, you might be thinking, “Can’t other things look like PIE on an X-ray or CT?” And you’d be absolutely right, guys! That’s where the skill of differential diagnosis in pulmonary interstitial emphysema radiology comes into play. Radiologists are constantly comparing the imaging findings to a list of other potential conditions that can mimic PIE. One of the most common mimics is atelectasis, which is the collapse of lung tissue. While PIE shows air outside the air sacs, atelectasis is the absence of air within the air sacs. They can sometimes coexist or look similar, especially on an X-ray. Another condition to consider is pulmonary edema, which is fluid buildup in the lungs, often seen in heart failure. Instead of air, you see increased white density (opacities) on the X-ray. Pneumonia, an infection in the lungs, also causes opacities and can sometimes present with air bronchograms (visible airways within consolidated lung tissue), which might be confused with the linear lucencies of PIE. Neonatal lung disease, such as hyaline membrane disease (RDS), can have overlapping features with PIE, particularly the need for ventilation. It’s the specific pattern and location of the lucencies or abnormalities that help differentiate. For example, true PIE often shows air tracking along the bronchi and interlobular septa, distinct from the diffuse haziness of infection or fluid. The radiologist’s job is to meticulously analyze the pattern, compare it with the clinical context (like the patient’s age, symptoms, and medical history), and rule out other possibilities. This careful consideration ensures that the correct diagnosis is made, leading to the most appropriate treatment for the patient. It’s a process of elimination and confirmation, where every shadow and line on the scan is scrutinized for its true meaning.

Clinical Significance and Management Implications

Understanding pulmonary interstitial emphysema radiology isn’t just an academic exercise; it has massive clinical significance and directly impacts how patients are managed. When PIE is identified, it signals to the medical team that there’s a problem with air getting where it shouldn’t be, potentially compromising the patient’s breathing. For infants on mechanical ventilators, the presence of PIE often means that the ventilator settings need to be adjusted. This might involve reducing the pressure or volume delivered to the lungs to prevent further air leakage. In some cases, doctors might switch to different modes of ventilation, like high-frequency oscillatory ventilation, which uses smaller, faster breaths to try and minimize lung injury and air trapping. Sometimes, if PIE is severe and causing significant lung collapse or complications, surgical interventions might be considered, though this is less common. The radiological findings also guide the frequency of follow-up imaging. If PIE is resolving, repeat X-rays or CT scans will show a decrease in the abnormal air patterns. If it’s worsening or new complications are arising, the imaging will highlight this, prompting a change in treatment strategy. Essentially, the radiology reports act as a continuous feedback loop for the clinical team. They tell us, “Is our current treatment working?” and “What changes do we need to make?” This constant monitoring and adjustment, driven by radiological evidence, is absolutely critical for improving survival rates and reducing long-term lung damage in patients with PIE, especially those vulnerable newborns. It underscores the indispensable role of radiology in guiding acute respiratory care.

The Future of PIE Imaging

Looking ahead, the field of pulmonary interstitial emphysema radiology is always evolving, just like the rest of medical imaging. While traditional X-rays and CT scans remain the workhorses for diagnosing PIE, researchers are constantly exploring ways to improve these techniques and develop new ones. One area of focus is on low-dose CT protocols . Since many patients who develop PIE, particularly infants, might need multiple imaging studies over time, minimizing radiation exposure is a huge priority. Developing CT techniques that can provide diagnostic-quality images with significantly lower radiation doses is a major goal. Another exciting avenue is the potential use of ultrasound in certain scenarios. While not typically used for general PIE detection, advanced ultrasound techniques are being investigated for their ability to visualize lung structures and air-space abnormalities in neonates, potentially offering a radiation-free alternative for some assessments. Functional imaging techniques , which go beyond just showing anatomy to showing how the lungs are working, are also being explored. This could involve advanced MRI techniques or functional CT, potentially providing more information about gas exchange impairment caused by PIE. Furthermore, the integration of artificial intelligence (AI) and machine learning into radiology is a rapidly growing field. AI algorithms are being developed to help automatically detect and quantify signs of PIE on scans, potentially assisting radiologists by highlighting suspicious areas and speeding up the diagnostic process. While these advanced techniques are still under development or not yet standard practice for PIE, they represent the future direction, aiming for faster, more accurate, safer, and more informative imaging of this challenging condition. The goal is always to get the best possible picture of what’s happening inside the lungs to ensure the best possible care for the patient.

So there you have it, guys! We’ve covered the ins and outs of pulmonary interstitial emphysema radiology . From understanding what PIE is, to how it shows up on X-rays and CT scans, and why it’s so important for patient care. It’s pretty amazing how much we can learn just by looking at these images, right? Remember, accurate radiological diagnosis is key to effective management and better outcomes for patients, especially those tiny little ones fighting for breath. Keep learning, stay curious, and I’ll catch you in the next post!