Pellucid Marginal Degeneration: Treatments Explained

T.Beswifty 128 views
Pellucid Marginal Degeneration: Treatments Explained

Pellucid Marginal Degeneration: Treatments Explained

Hey everyone! Today, we’re diving deep into a topic that might sound a bit technical, but trust me, guys, it’s super important if you or someone you know is dealing with Pellucid Marginal Degeneration (PMD) . This is a condition that affects the cornea, the clear front part of your eye, and it can really mess with your vision. If you’re looking for ways to manage or treat PMD, you’ve come to the right place. We’re going to break down all the treatment options available, from the simplest fixes to more advanced procedures. So, buckle up, and let’s get informed about how we can tackle Pellucid Marginal Degeneration.

Understanding Pellucid Marginal Degeneration (PMD)

Before we jump into treatments, it’s crucial to get a solid grasp of what Pellucid Marginal Degeneration actually is. This is a progressive thinning of the cornea, specifically in the inferior (lower) part, just outside the center. Unlike its more common cousin, keratoconus, PMD typically doesn’t involve significant scarring or the cone-shaped protrusion. Instead, it causes irregular astigmatism, which is a fancy way of saying your vision gets blurry and distorted because the cornea isn’t evenly curved. This irregularity can make it really challenging to see clearly, even with regular glasses. The exact cause of PMD isn’t fully understood, but it’s believed to have a genetic component and tends to affect individuals between their 20s and 40s. The progression can be slow, but over time, the thinning can worsen, leading to more severe vision problems. Early detection and understanding are key, as treatment can significantly slow down its progression and improve your quality of life. This condition can be frustrating because the vision changes are often subtle at first, and it might be misdiagnosed as common astigmatism. However, the unique pattern of thinning in PMD warrants specific diagnostic approaches, often involving advanced corneal imaging like corneal topography or tomography. These tools map the curvature of the cornea, revealing the characteristic inferior thinning and irregular astigmatism associated with PMD. Recognizing these patterns is the first step towards effective management and treatment. The impact of PMD goes beyond just blurry vision; it can affect daily activities, driving, reading, and even your confidence. Therefore, seeking specialized eye care is paramount for anyone experiencing persistent vision issues that don’t seem to respond to standard corrective lenses. The goal of treatment isn’t always to restore perfect vision, but rather to stabilize the condition, prevent further deterioration, and provide the best possible visual acuity given the corneal changes. It’s a journey that requires patience, understanding, and a collaborative approach with your eye care professional.

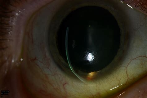
Eyeglasses and Contact Lenses: The First Line of Defense

When you first hear about Pellucid Marginal Degeneration , the initial treatment options are usually the most straightforward: eyeglasses and contact lenses. For many people, especially in the earlier stages of PMD, these can be incredibly effective in correcting the irregular astigmatism. Eyeglasses can help to a certain extent, but because the corneal shape is so irregular, they often can’t fully compensate for the distorted vision. Think of it like trying to look through a warped piece of glass – eyeglasses might smooth things out a little, but they won’t make it perfectly clear. So, while they might offer some improvement, they’re often not the complete solution. This is where specialty contact lenses come into play. These are not your average soft contacts. We’re talking about rigid gas permeable (RGP) lenses or even scleral lenses. RGP lenses are hard and maintain a smooth, predictable surface that effectively masks the irregular cornea, allowing light to focus properly on the retina. They create a tear-filled space between the lens and the cornea, which helps to smooth out the visual pathway. Scleral lenses are even larger RGP lenses that vault over the entire cornea and rest on the white part of the eye (the sclera). They create a fluid-filled reservoir over the cornea, which is fantastic for PMD patients because it completely bypasses the irregular corneal surface, providing exceptionally clear and comfortable vision. These lenses are often the go-to for moderate to severe PMD where eyeglasses just won’t cut it anymore. Fitting these specialty lenses requires a skilled eye care professional with expertise in complex corneal conditions. It’s a process that involves precise measurements and often multiple trial lenses to find the perfect fit and prescription. The goal is to achieve not only clear vision but also comfortable wear throughout the day. While contacts might seem like a simple fix, they represent a significant step up in managing the visual challenges posed by PMD, offering a tangible improvement for many individuals suffering from this condition. The success of contact lens correction is highly dependent on the individual’s tolerance and the specific degree of corneal irregularity. Some people adapt easily to RGP lenses, while others might find them less comfortable than scleral lenses. The advancements in contact lens technology have truly revolutionized the management of PMD, providing a non-surgical option that can dramatically enhance visual function and improve the overall quality of life for patients.

Corneal Cross-Linking (CXL): Stabilizing the Cornea

For those whose Pellucid Marginal Degeneration is progressing, a more advanced treatment called Corneal Cross-Linking (CXL) becomes a really important option to consider. The main goal of CXL is not necessarily to improve vision directly, but rather to stop the thinning of the cornea from getting worse. It’s a procedure that strengthens the cornea, making it more resistant to further deformation. How does it work? Well, it involves applying riboflavin (Vitamin B2) eye drops to the cornea and then exposing it to ultraviolet (UV) light. This combination creates new bonds between the collagen fibers in the cornea, essentially acting like a biological ‘glue’ that stiffens and strengthens the corneal tissue. Think of it like reinforcing a structure that’s starting to weaken. CXL is particularly effective in patients who are showing signs of progression. It’s a relatively non-invasive procedure, usually done in an ophthalmologist’s office. The standard CXL procedure typically involves removing the epithelium (the outermost layer) of the cornea, although a newer ‘epi-on’ technique exists where the epithelium is left intact, potentially leading to faster healing and less discomfort. After the riboflavin drops are applied for about 20-30 minutes, the UV light is shone onto the cornea for another 20-30 minutes. The entire process is generally painless, especially if a local anesthetic is used. While CXL itself doesn’t flatten the cornea or correct the existing irregular astigmatism, its power lies in its ability to halt or significantly slow down the progression of PMD. By stabilizing the cornea, it prevents further vision loss and can make subsequent treatments, like contact lens fitting, more predictable and successful. It’s a crucial step for many patients to maintain their vision in the long run. The decision to undergo CXL is usually made in conjunction with your eye doctor, who will assess the progression of your PMD using corneal topography and other diagnostic tools. They’ll consider your age, the rate of change in your corneal shape, and your visual symptoms to determine if CXL is the right choice for you. It’s a proactive measure that gives you a fighting chance against the relentless march of this degenerative eye condition, offering hope for sustained visual function. The long-term studies on CXL have shown promising results in stabilizing corneal ectasia, including PMD, in a significant majority of patients, making it a cornerstone of modern PMD management.

Intacs: Reshaping the Cornea

When PMD has caused significant thinning and bulging of the cornea, and contact lenses or CXL aren’t sufficient, Intacs can be a really innovative surgical option. Intacs are small, C-shaped plastic inserts that are surgically placed within the cornea. Their primary purpose is to help reshape the cornea, making it smoother and more regular, which in turn can improve vision. Think of them as internal braces for your eye’s cornea. By inserting these small arcs into the peripheral cornea, they push on the corneal tissue from the inside, flattening the bulging areas and steepening other areas to create a more symmetrical shape. This reshaping can reduce the irregular astigmatism and improve uncorrected vision, and also make it easier for contact lenses to fit properly and provide better visual acuity. The procedure itself is minimally invasive. A small channel is created in the cornea using a laser or a special instrument, and then the Intacs segments are carefully inserted into this channel. The procedure is typically performed under local anesthesia. While Intacs can improve vision and corneal shape, it’s important to know that they are also removable. If for any reason they cause issues or if your condition changes, they can be taken out. This reversibility is a significant advantage. Intacs are not a cure for PMD, and they don’t stop the underlying degenerative process, which is why they are often combined with CXL for optimal results – Intacs reshape, and CXL stabilizes. The visual improvement from Intacs can take a few weeks to become fully apparent as the cornea heals and adapts to the presence of the inserts. Post-operative care involves eye drops and regular check-ups to monitor healing and visual outcomes. For individuals struggling with advanced PMD that hasn’t responded well to other treatments, Intacs offer a ray of hope, potentially restoring a level of visual function that was previously unattainable. The careful placement and precise sizing of the Intacs segments are critical for achieving the desired visual outcome, and this requires the expertise of a corneal specialist. The technology has evolved over the years, offering different sizes and shapes of Intacs to cater to a wider range of corneal irregularities, making it a versatile tool in the PMD treatment arsenal.

Corneal Transplant: The Last Resort

In cases where Pellucid Marginal Degeneration has caused severe thinning, scarring, or significant vision loss that cannot be corrected by any of the previously mentioned treatments, a corneal transplant (also known as a keratoplasty) might be the necessary option. This is a more major surgical procedure where the damaged or diseased cornea is replaced with healthy donor corneal tissue. It’s generally considered the last resort because, like any transplant surgery, it carries risks and requires a lengthy recovery period. There are different types of corneal transplants. The most common is a penetrating keratoplasty (PK), where the full thickness of the diseased cornea is removed and replaced. Another type is lamellar keratoplasty, which replaces only the diseased layers of the cornea, preserving some of the patient’s own healthy tissue. This latter approach, like Deep Anterior Lamellar Keratoplasty (DALK), is often preferred when possible as it generally has a lower risk of rejection and faster visual recovery. The decision to proceed with a corneal transplant is a serious one, made after carefully weighing the potential benefits against the risks. The success rates for corneal transplants are generally high, but complications can occur, including infection, inflammation, and graft rejection (where the recipient’s immune system attacks the donor tissue). Post-transplant care is critical and involves a strict regimen of anti-rejection eye drops for an extended period, sometimes for life. Visual recovery can take many months, and new glasses or contact lenses may be needed to achieve the best possible vision after the transplant. While a corneal transplant can restore sight and improve the quality of life for individuals with advanced PMD, it represents a significant commitment to ongoing eye care and monitoring. It’s a testament to the advancements in ophthalmology that such a procedure can offer a chance at clear vision when other options have been exhausted. The donor cornea is carefully matched to the recipient, and the surgery is performed by highly skilled corneal surgeons. The goal is to provide a clear window for light to enter the eye, allowing for functional vision once more. It’s a life-changing procedure for many, offering a return to activities that were previously impossible due to severe visual impairment from PMD.

Conclusion: Taking Control of Your Vision

Dealing with Pellucid Marginal Degeneration can feel overwhelming, but remember, guys, there are so many options available to manage this condition and protect your vision. From simple eyeglasses and specialized contact lenses to advanced procedures like corneal cross-linking and Intacs, and finally, corneal transplantation as a last resort, the journey with PMD is highly treatable. The key is to work closely with an experienced eye care professional who understands PMD. They can accurately diagnose your condition, monitor its progression, and tailor a treatment plan specifically for you. Early detection and proactive management are your best allies in maintaining good vision and quality of life. Don’t hesitate to ask questions, seek second opinions if needed, and stay informed about the latest advancements in PMD treatment. Your vision is precious, and with the right approach, you can navigate the challenges of Pellucid Marginal Degeneration effectively and continue to see the world clearly. It’s all about finding the right combination of treatments that work best for your unique eyes and lifestyle. Stay positive, stay informed, and keep those eyes healthy!