Ischemic Stroke: Decoding CT Scan Insights

T.Beswifty 44 views
Ischemic Stroke: Decoding CT Scan Insights

Ischemic Stroke: Decoding CT Scan Insights

Hey there, folks! Ever wondered what happens when someone has an ischemic stroke , and how doctors figure out what’s going on inside their brains? Well, a CT scan plays a huge role in this process! This article will dive deep into how CT scans are used to diagnose and assess ischemic strokes, making sure you understand everything from the basics to the nitty-gritty details. So, grab a coffee (or your favorite beverage), and let’s get started. We’ll break down the role of a CT scan, what doctors look for, and why this imaging technique is so incredibly vital when time is of the essence. We’ll cover the nuts and bolts of what an ischemic stroke is, how a CT scan works, and how it helps healthcare professionals make crucial decisions fast. This helps improve the chances of a positive outcome. Plus, we’ll explain how it relates to stroke treatment. So, if you’re curious about brain health, medical imaging, or just want to expand your knowledge, you’re in the right place.

Understanding Ischemic Stroke and CT Scans

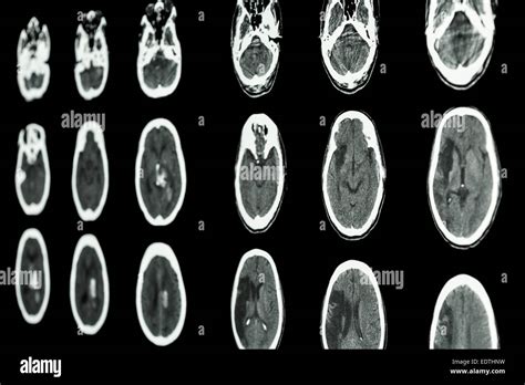
Before we jump into the details of the CT scan , let’s get on the same page about ischemic strokes. An ischemic stroke happens when the blood supply to the brain is cut off, usually because of a blood clot. This blockage starves the brain of oxygen and nutrients, leading to brain cell damage, and, if not treated quickly, this can result in permanent brain damage. Now, think of the brain as a complex network of highways and roads. The blood vessels are the highways delivering all the essential supplies, and if a roadblock (a clot) forms, traffic (blood flow) stops. The result? A stroke. Getting a quick diagnosis is super important. That’s where the CT scan comes into play. A CT scan, or computed tomography scan, is a type of imaging technique that uses X-rays to create detailed pictures of the inside of your body. Imagine taking a series of X-ray pictures from all angles, and then the computer puts them together to create a comprehensive, cross-sectional image. For the brain, this means doctors can see the structures in great detail, look for bleeding, and, most importantly, identify signs of an ischemic stroke .

The Role of CT Scans in Diagnosing Ischemic Strokes

Okay, so why is a CT scan so crucial? Well, when someone shows stroke symptoms (like sudden weakness, trouble speaking, or vision problems), doctors need to figure out what’s going on fast . The faster they can determine the cause of the stroke, the faster they can start treatment. A CT scan is often the first imaging test done because it’s quick, readily available in most hospitals, and can quickly rule out other possible causes of the symptoms. For instance, it can differentiate between an ischemic stroke and a hemorrhagic stroke (which is caused by bleeding in the brain), which is super important because the treatments are very different. In an ischemic stroke , the CT scan might show early signs of damage, such as subtle changes in the brain tissue, or it might reveal the absence of blood flow to certain areas. These early indications help doctors decide the best course of action. It can also help see if there’s any bleeding. It might not always show the stroke immediately, especially in the early hours. However, it’s still extremely valuable for ruling out other conditions and for helping doctors make a quick assessment.

How a CT Scan Works

Let’s break down how a CT scan works so you know exactly what’s happening during the process. When you get a CT scan, you’ll lie on a table that slides into a doughnut-shaped machine. Inside the machine, an X-ray tube rotates around your head, taking multiple images. These images are then processed by a computer, which puts them together to create detailed, cross-sectional pictures of your brain. The whole process is pretty quick, usually taking only a few minutes. You might be asked to hold still and, in some cases, you might receive an injection of a contrast dye. This dye helps to highlight the blood vessels and other structures in the brain, making it easier to see what’s going on. The images produced by a CT scan are incredibly detailed. They allow doctors to see different densities of tissues, like the brain, blood vessels, and any potential abnormalities such as clots, bleeding, or swelling.

What Doctors Look for on a CT Scan

When doctors look at a CT scan of a patient with suspected stroke, they have several key things they’re looking for. They’re searching for signs of the stroke and assessing the extent of any damage, including the location and size of the affected area. This information is crucial for determining the best treatment strategy and predicting the potential outcome. Here’s a rundown of what they are looking for:

Early Signs of Ischemic Stroke on a CT Scan

In the early stages of an ischemic stroke , the CT scan might not show a lot of obvious changes. However, there are some subtle signs that experienced radiologists can spot. They look for the following signs:

  • Loss of Grey-White Matter Differentiation: The brain is made up of grey matter and white matter, which have different densities. In the early stages of a stroke, the difference between these can become less clear, making it difficult to differentiate between them. This is often the first thing they notice.
  • Hyperdense Artery Sign: Sometimes, the CT scan can show a blood clot as a very bright spot in an artery, known as the hyperdense artery sign. This is a telltale sign of a blood clot and helps to confirm the diagnosis.
  • Subtle Swelling: The brain tissue may start to swell, and subtle changes in the density of the brain tissue. This can indicate that the brain is not getting enough blood.

Later Signs of Ischemic Stroke on a CT Scan

As time passes, the changes on the CT scan become more apparent. The following signs are usually visible later:

  • Hypodensity: Areas of the brain that are damaged due to the lack of blood flow will start to appear darker on the CT scan. This is called hypodensity. It indicates that the brain tissue is dying.
  • Mass Effect: As the brain swells, it can push on other structures, causing a mass effect.
  • Infarct: This is a term for the area of dead tissue caused by the stroke. It can be seen as a clearly defined dark area on the scan.

Differentiating Ischemic vs. Hemorrhagic Stroke

One of the main goals of the CT scan is to differentiate between an ischemic stroke and a hemorrhagic stroke. A hemorrhagic stroke involves bleeding in the brain. On a CT scan, blood appears bright white. So, if the scan shows any bright white areas, it’s a sign of bleeding. If there’s no bleeding and the scan looks relatively normal (or shows the signs of ischemic stroke ), then it’s most likely an ischemic stroke . This distinction is super important because the treatments for each type of stroke are different.

Impact of CT Scan Findings on Treatment and Outcomes

Alright, let’s talk about how the findings from a CT scan affect treatment and, ultimately, the outcome for stroke patients. The results of the CT scan are crucial in guiding doctors’ decisions about the treatment plan. It’s like the roadmap for how they approach the situation, so the CT scan findings can lead to a variety of treatment options.

Immediate Treatment Options Guided by CT Scan

If the CT scan confirms an ischemic stroke , the first priority is to restore blood flow to the brain as quickly as possible. The following are the two main treatment options:

  • Thrombolysis: This involves giving the patient a clot-busting drug (tissue plasminogen activator, or tPA) to dissolve the blood clot. It’s most effective if given within the first few hours of the stroke onset. The CT scan helps determine if tPA is appropriate and whether there’s any bleeding, which would prevent its use.
  • Mechanical Thrombectomy: In some cases, doctors can use a catheter to physically remove the blood clot from the artery. This procedure is also time-sensitive and usually done within the first few hours after the stroke. The CT scan helps to identify the location of the clot and guide the procedure.

Long-term Management and Rehabilitation

  • Long-Term Management: Based on the CT scan results, doctors will prescribe medications to prevent future strokes, such as blood thinners or antiplatelet drugs. They’ll also address any underlying health conditions, such as high blood pressure or high cholesterol.
  • Rehabilitation: The CT scan helps doctors determine the extent of brain damage, which can help guide the rehabilitation plan. Patients may need physical therapy, occupational therapy, and speech therapy to regain lost functions. The goal is to maximize their recovery and improve their quality of life.

Predicting Outcomes and Assessing Prognosis

The CT scan can help doctors predict the patient’s outcome. By looking at the size and location of the damaged area, they can give an estimate of how the patient may recover. They also look for any signs of complications, like swelling or bleeding in the brain. Knowing the prognosis helps set realistic expectations for the patient and family and guides the approach to rehabilitation. The faster the stroke is diagnosed and treated, the better the chances of a positive outcome. The CT scan is a vital tool for making this happen quickly.

Conclusion: The Importance of CT Scans in Ischemic Stroke Diagnosis

So, there you have it, folks! The CT scan is a cornerstone in the diagnosis and treatment of ischemic strokes . It’s a rapid, non-invasive way to get a clear picture of what’s happening inside the brain, allowing doctors to make quick decisions. Remember, recognizing the signs of stroke and getting to the hospital fast is essential. The sooner treatment starts, the better the chances of a full recovery. Early diagnosis and treatment can make a world of difference. Hopefully, this article has provided you with a better understanding of how CT scans are used to combat stroke and the impact of the treatment. Knowledge is power, and knowing more about stroke and brain health can help save lives. Stay informed, stay healthy, and always seek medical attention if you suspect you or someone you know is having a stroke!