Decoding IBPd, HC, And AC Measurements During Pregnancy
Decoding IBPd, HC, and AC Measurements During Pregnancy
Hey there, future parents! Pregnancy is a wild ride, isn’t it? So many appointments, tests, and medical terms to wrap your head around. If you’re anything like me, you’ve probably encountered a few acronyms that left you scratching your head. Today, we’re going to break down some of those confusing terms, specifically focusing on IBPd, HC, and AC, and what they mean during pregnancy. Don’t worry, guys, it’s not as scary as it sounds. We’ll go through each one step-by-step, making sure you feel confident and informed about your baby’s development. Let’s get started!
Table of Contents
- Understanding the Basics: Why are these measurements important?
- The Role of Ultrasound Technology
- How These Measurements Fit into the Bigger Picture
- IBPd: Interpreting the Biparietal Diameter
- Why the Biparietal Diameter Matters
- What the Readings Indicate
- HC: Deciphering Head Circumference
- The Importance of Head Circumference
- Understanding the HC Readings
- AC: Analyzing Abdominal Circumference
- The Significance of Abdominal Circumference
- Interpreting AC Measurements
- Putting It All Together: The Big Picture
- What if there are concerns?
- Conclusion: Stay Informed, Stay Empowered
Understanding the Basics: Why are these measurements important?
Before we dive into the specific acronyms, let’s talk about why these measurements are even taken in the first place. Throughout your pregnancy, your healthcare provider will perform regular ultrasounds to monitor your baby’s growth and development. These ultrasounds provide a detailed look at your little one inside the womb. These measurements – including IBPd, HC, and AC – are all crucial components of this monitoring process. They help your doctor assess several key aspects of your baby’s health: estimating gestational age, assessing growth patterns, and identifying any potential issues early on. Early detection is key , guys! By regularly tracking these measurements, your healthcare provider can ensure your baby is developing at a healthy pace and intervene if any concerns arise. These measurements are used in conjunction with other assessments, like fetal heart rate monitoring and amniotic fluid levels, to get a comprehensive picture of your baby’s well-being. So, when your doctor starts rattling off these acronyms, know that they’re all working hard to ensure your baby’s health.
The Role of Ultrasound Technology
Ultrasound technology, often referred to as sonography, plays a central role in obtaining these measurements. This technology uses high-frequency sound waves to create images of your baby in the womb. The ultrasound probe emits these sound waves, which then bounce off your baby’s body. These echoes are then processed by a computer to produce images that doctors can see on a screen. The images provide a detailed view of your baby’s anatomy, allowing healthcare providers to measure various parts of the baby’s body. This non-invasive procedure is generally considered safe for both the mother and the baby. The entire process allows for the accurate and reliable assessment of fetal development, which is critical during pregnancy. Regular ultrasound scans are part of standard prenatal care, typically performed at different stages of pregnancy to track growth and check for any potential anomalies.
How These Measurements Fit into the Bigger Picture
It is important to understand that each measurement is just one piece of the puzzle. Healthcare providers don’t just rely on IBPd, HC, and AC in isolation. These measurements are combined with other data, such as your due date, your medical history, and other ultrasound findings, to paint a complete picture of your baby’s health. For instance, if the HC (Head Circumference) is slightly smaller than expected, the doctor would assess other parameters, like the AC (Abdominal Circumference) and FL (Femur Length), and compare the baby’s growth with the expected growth curve. Any deviation can be considered, but it’s important to remember that every baby is different. Factors like genetics, the mother’s health, and nutrition can all impact fetal growth. Your doctor will interpret these measurements in the context of the entire pregnancy to ensure that the baby’s growth trajectory is on track and to look for any signs that might need further investigation or intervention. The ultimate goal is to provide the best care possible for both you and your baby.
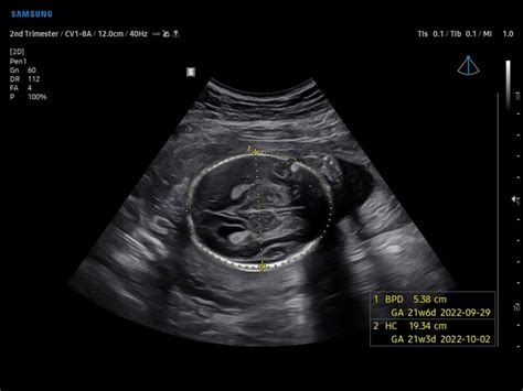
IBPd: Interpreting the Biparietal Diameter
Alright, let’s get into the first acronym: IBPd . This stands for Biparietal Diameter , which is the measurement of the baby’s head. Specifically, it refers to the diameter of the head from one parietal bone to the other. Think of it like measuring the widest part of the baby’s head. The IBPd measurement is one of the key indicators used to estimate your baby’s gestational age and to assess head growth. This measurement helps determine if the baby’s head size is appropriate for its age. The IBPd is typically measured in millimeters, and the values are compared against a standard growth chart that shows the expected range for each week of pregnancy. Deviations from the expected range can sometimes indicate potential issues, such as macrosomia (a larger-than-average baby) or microcephaly (a smaller-than-average head). However, it is important to remember that a single measurement alone doesn’t tell the whole story. Your doctor will consider the IBPd in conjunction with other measurements and assessments.
Why the Biparietal Diameter Matters
The Biparietal Diameter is a valuable tool because it provides key insights into fetal development. First, it helps to accurately estimate the gestational age, especially in the early stages of pregnancy. This is particularly useful if you’re unsure of your last menstrual period. Secondly, it helps the healthcare providers to track the baby’s growth over time. Consistent monitoring of IBPd can help identify any growth restrictions or accelerated growth patterns that may need further investigation. Additionally, the IBPd measurement can provide clues about the baby’s overall health and well-being. Abnormalities in head size may sometimes be associated with specific medical conditions. During the labor and delivery process, the IBPd also becomes relevant. It can provide important information that helps to assess whether a vaginal delivery will be possible or if a Cesarean section may be necessary. Monitoring the IBPd enables informed decision-making throughout pregnancy and at the time of delivery.
What the Readings Indicate
When your doctor checks the IBPd, they’re looking for several things. They will compare the measurement to the expected range for your stage of pregnancy. A measurement that is within the normal range suggests healthy head growth and that the baby is developing as expected. If the IBPd is consistently larger than expected, it might suggest the baby is larger than the average, which can influence delivery plans. Conversely, if the IBPd is consistently smaller than expected, it might indicate that the baby’s head is not growing at the expected rate, which could require further investigation to determine the cause. These potential causes could range from genetic factors to nutritional issues. Your doctor will also observe the growth rate, meaning how the IBPd changes over time. A consistent growth rate within the normal range gives further reassurance that your baby is developing well. However, deviations from the normal growth curve require close monitoring and, if necessary, further testing. Remember, any concerns or questions about your baby’s IBPd measurement should be discussed with your healthcare provider.
HC: Deciphering Head Circumference
Next up, we have HC , which stands for Head Circumference . The HC measurement is the circumference of the baby’s head, which gives a comprehensive assessment of the head’s size. Like the IBPd, the HC is a critical parameter for monitoring fetal development. By measuring the HC, your doctor can gain more insight into the baby’s growth trajectory and identify any potential developmental issues. The HC measurement complements the IBPd, providing a more complete picture of the head’s dimensions and growth rate. This holistic approach helps to get a more accurate assessment of the baby’s well-being. So, let’s dig a bit deeper into what HC is all about.
The Importance of Head Circumference
The Head Circumference measurement is crucial for several reasons. Firstly, it offers additional data to estimate gestational age. When used in conjunction with other measurements such as IBPd, the HC helps create a more accurate assessment of how far along the pregnancy is. Secondly, the HC is a key component in assessing fetal growth. Monitoring HC over multiple ultrasounds can identify any growth restrictions or accelerated growth patterns, ensuring the baby is developing at a healthy pace. Thirdly, deviations in HC measurements can offer important clues about the baby’s overall health. For example, an unusually small HC might indicate microcephaly, while an unusually large HC could indicate the baby is larger than average. The HC measurement also plays a role in the delivery process. For instance, it can help the doctors predict if the baby’s head will fit through the birth canal during vaginal delivery. If a significant discrepancy is detected, the doctors may recommend further examinations or consider alternative delivery options.
Understanding the HC Readings
When your doctor evaluates the HC, they’re looking at the size in millimeters and comparing it with a standard growth chart specific to your stage of pregnancy. A healthy HC measurement typically falls within the expected range for the gestational age. This indicates that the baby’s head is growing appropriately. The doctor will also monitor the HC growth over time . Consistent and steady growth is a positive sign. A sudden increase in HC can sometimes indicate a potential issue, such as hydrocephalus (a buildup of fluid in the brain). Conversely, a slowing or stagnant HC growth might signal growth restriction or developmental concerns. Any significant deviations from the expected HC range would prompt further investigation. These further examinations could include additional ultrasound scans or other tests to confirm or assess the underlying cause. If you have any questions or concerns about the HC readings, you should always discuss them with your doctor.
AC: Analyzing Abdominal Circumference
Now, let’s explore AC , or Abdominal Circumference . This measures the circumference of your baby’s abdomen at the level of the stomach. The AC measurement is an important indicator of the baby’s weight and overall abdominal growth. The AC helps assess whether the baby’s abdomen is developing at a healthy pace. It provides insight into the size of the baby’s internal organs, like the liver. It can also help evaluate the amount of fat the baby is accumulating. The AC, in combination with other measurements like the HC and FL, gives a more complete picture of the baby’s growth and development. This data enables healthcare providers to evaluate your baby’s general health.
The Significance of Abdominal Circumference
The Abdominal Circumference provides a valuable look into the baby’s overall growth and well-being. Primarily, it’s used to estimate the baby’s weight. The AC measurement is particularly useful in determining if the baby is growing at the expected rate. It is correlated with other measurements, which collectively help estimate the baby’s weight. Deviations in AC can sometimes suggest potential issues such as fetal growth restriction (FGR) or macrosomia (a large baby). AC is also helpful in assessing the health of internal organs. The size of the abdomen can provide clues about the development of the liver, kidneys, and other abdominal organs. Additionally, the AC can provide insight into the amount of fat the baby is accumulating. The fat stores are essential for thermoregulation and energy storage. Your healthcare provider will use the AC measurement together with other factors to develop your birth plan, which helps in preparing for the delivery. It plays a key role in making informed decisions about your pregnancy care.
Interpreting AC Measurements
When your doctor examines the AC, they will compare the measurement with a growth chart specific to your stage of pregnancy. A measurement within the normal range shows that the baby’s abdomen is growing appropriately. However, a measurement that is consistently smaller than the expected range might suggest the baby is experiencing growth restriction. This may warrant further investigation to determine the underlying cause. On the other hand, a larger-than-expected AC measurement may indicate that the baby is large for its gestational age. This can lead to increased risk during delivery. The doctor will monitor the AC growth over time. A consistent growth rate within the normal range is a good indicator of the healthy development. Any deviation from the standard growth curve will prompt further examinations and consultations. Always discuss any questions you have about the AC measurements with your healthcare provider. This will help you to understand what is happening and the best actions for your specific situation.
Putting It All Together: The Big Picture
So, we’ve covered IBPd, HC, and AC, and how they contribute to understanding your baby’s development. But what’s the big picture? Remember, these measurements are used together to give a comprehensive view of your baby’s health. Your healthcare provider will use these measurements along with other information, such as your due date, medical history, and other ultrasound findings, to assess your baby’s growth and well-being. No single measurement is used in isolation. The whole package of information is taken into account. Regular monitoring and evaluation of these parameters can enable the identification of any potential issues early on. It also helps to ensure that your baby is developing at a healthy pace. The collective data helps your healthcare provider to make informed decisions about your prenatal care and delivery planning. Always remember to discuss any concerns or questions you have with your healthcare provider. They are your best resource for understanding your pregnancy and your baby’s development.
What if there are concerns?
If any of the measurements fall outside the expected range, your doctor may recommend further testing. These tests may include additional ultrasound scans, blood tests, or other assessments. It’s important not to panic. Often, these further investigations reveal nothing of concern. However, early detection of any potential issues allows for timely intervention and improved outcomes for both mother and baby. Your doctor is there to guide you through the process, answer your questions, and provide the best possible care for you and your baby.
Conclusion: Stay Informed, Stay Empowered
Pregnancy can seem like a complex journey, but by understanding some of the key terms and measurements, like IBPd, HC, and AC, you can feel more informed and empowered. Remember, your healthcare provider is your partner throughout this process. Don’t hesitate to ask questions and seek clarification on anything that concerns you. Embrace the journey, and enjoy every moment of this incredible time. You’ve got this, future parents! Congratulations, and all the best with your little one. Remember to stay educated, follow your doctor’s recommendations, and enjoy the precious moments of your pregnancy journey. This is a special time, and every step you take towards understanding these key measurements empowers you as a parent-to-be, and gives you peace of mind.