20-Week Scan: What 'IOSC H OWSC Common' Really Means

T.Beswifty 106 views
20-Week Scan: What 'IOSC H OWSC Common' Really Means

Navigating the 20-Week Scan: Understanding ‘IOSC H OWSC Common’ on Reddit

Hey guys! So, you’re here because you’ve probably just had your 20-week anatomy scan, and maybe you’ve stumbled across a Reddit thread mentioning something like “IOSC H OWSC Common.” It sounds a bit scary, right? Let’s break down what this term might actually refer to and why seeing it pop up in forums can cause a bit of a panic. First off, remember that Reddit forums are filled with personal experiences , and while they can be a great source of information and support, they are not a substitute for professional medical advice. What one person experiences might be completely different for another. The acronym ‘IOSC H OWSC Common’ isn’t a standard medical term you’ll find in textbooks or hear directly from your doctor. It’s likely a shorthand used within specific online communities to describe findings that are common or frequently seen during the 20-week ultrasound, and which can sometimes be associated with certain conditions, but often resolve on their own or are simply variations of normal. So, if you’re seeing this, try not to jump to the worst-case scenario. The key here is context . What was the surrounding discussion? Was it about a specific finding like choroid plexus cysts, echogenic intracardiac foci, or maybe even mild pyelectasis? These are all things that can show up on a 20-week scan, are often considered ‘common’ incidental findings, and frequently cause no issues whatsoever. We’ll dive deeper into some of these specific examples below, but the main takeaway is that ‘common’ doesn’t automatically mean ‘problematic.’ It simply means it’s something sonographers and doctors see quite a bit. The anxiety that comes with pregnancy is real, and encountering cryptic forum posts can amplify it. Let’s aim to demystify this a bit so you can have a clearer picture and hopefully some peace of mind.

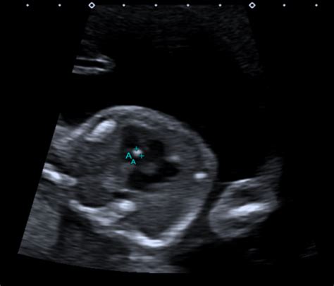
Decoding Common Findings: What Sonographers Look For

Alright, let’s get real about the 20-week anatomy scan, often called the mid-pregnancy ultrasound. This is a pretty major milestone in your pregnancy journey , guys. It’s not just about getting a sneak peek at your baby’s face (though that’s super fun!); it’s primarily a detailed examination to check on your baby’s development and anatomy. The sonographer is meticulously measuring bones, looking at organs, checking the heart’s chambers, and making sure everything is forming as it should be. Now, when people use terms like ‘IOSC H OWSC Common’ on Reddit, they’re often referring to soft markers or incidental findings . These are observations during the ultrasound that might be slightly outside the typical range but don’t necessarily indicate a problem. Think of them as tiny flags that might prompt a closer look, but in many cases, they turn out to be completely insignificant variations. Some of the most commonly discussed soft markers that might lead to such forum chatter include:

  • Echogenic Intracardiac Foci (EIFs): These are bright spots seen in the baby’s heart chambers. They are incredibly common, especially in certain populations, and in most cases, they have absolutely no impact on the baby’s heart function or overall health. They often disappear on subsequent ultrasounds.
  • Choroid Plexus Cysts (CPCs): These are small fluid-filled sacs in the brain’s choroid plexus. Like EIFs, they are quite common, especially in the second trimester, and typically resolve on their own before birth without causing any developmental issues.
  • Mild Pyelectasis: This refers to a slight dilation or swelling of the renal pelvis, the part of the kidney that collects urine. Mild cases are frequently observed and often resolve after birth, with the baby’s kidneys functioning perfectly normally. Severe cases are much rarer.
  • Single Umbilical Artery (SUA): Instead of the usual two arteries and one vein in the umbilical cord, a baby with SUA has only one artery. While it can sometimes be associated with other fetal anomalies or growth issues, most babies with SUA are born perfectly healthy without any complications.

When you see ‘IOSC H OWSC Common’ discussed, it’s usually in the context of these types of findings. People are sharing that they experienced these things, that they were common for them or others they know, and perhaps how they navigated the worry that followed. It’s crucial to remember that the sonographer and your doctor will interpret these findings within the full context of your individual pregnancy. They’ll look at your baby’s growth, other anatomical structures, and your personal medical history. If they see something they’re concerned about, they will discuss it with you directly and recommend further steps, which might include genetic counseling, further specialized ultrasounds, or amniocentesis. But for the vast majority of these ‘common’ findings, the story has a happy ending with a healthy baby.

The Role of Reddit Forums in Pregnancy Anxiety

Let’s talk about the elephant in the room, guys: Reddit . It’s an amazing place for community and shared experiences, but when you’re pregnant and feeling vulnerable, scrolling through forums can sometimes feel like you’re wading through a minefield of potential worries. That term, ‘IOSC H OWSC Common,’ is a perfect example of how a casual, perhaps even neutral, observation within a specific online group can sound alarming to someone who doesn’t have the full context. People on Reddit are often sharing their personal journeys , their fears, and their outcomes. Someone might post about a ‘common’ finding because they want to connect with others who have gone through something similar, or perhaps to find reassurance after their own scare. The issue is that without knowing the source or the specific details of the finding , it’s easy to extrapolate and assume the worst. Imagine reading a thread where someone mentions ‘IOSC H OWSC Common’ in relation to their 20-week scan and immediately picturing every possible complication. It’s a natural human reaction to fear the unknown, especially when it concerns your baby. The sheer volume of information and diverse experiences on Reddit can be overwhelming. You might see stories of babies who had complications related to a finding, but you’ll also see countless others where the finding was completely benign. The problem is, the dramatic stories often stick with us more. It’s essential to approach these forums with a critical eye . Ask yourself: What exactly was the finding? What was the medical professional’s assessment? What was the outcome? Most threads discussing ‘common’ findings usually conclude with reassurance or a positive outcome, but those details can get lost in the initial shock of seeing the keywords. If you’re feeling anxious after reading something online, the best thing you can do is schedule a call with your doctor or midwife . They can provide personalized information based on your scan results and put your mind at ease. Don’t let a Reddit acronym dictate your pregnancy well-being!

When ‘Common’ Needs Further Investigation

Now, while we’ve been stressing that ‘common’ often means ‘benign,’ it’s super important to acknowledge that sometimes, these common findings do warrant further investigation . This is precisely why your doctor and the sonographer are looking so closely during the 20-week scan. They’re not just ticking boxes; they’re assessing the entire picture . If a sonographer spots one of these ‘common’ markers, their next step is to evaluate its significance in the context of your baby’s overall development. For instance, if a baby has one EIF (Echogenic Intracardiac Focus) in their heart, it’s usually considered low risk. But if there are multiple EIFs, or if they are accompanied by other soft markers or indications of potential issues, then the medical team might recommend further evaluation. This could involve a more detailed fetal echocardiogram (an ultrasound specifically of the baby’s heart) or genetic testing, such as non-invasive prenatal testing (NIPT) or amniocentesis. Similarly, with mild pyelectasis, if the dilation is significant, or if it’s on both kidneys, or if there are other urinary tract abnormalities detected, follow-up scans after birth will be crucial to monitor kidney function. The term ‘IOSC H OWSC Common’ on Reddit might be used by someone who experienced one of these scenarios – where a ‘common’ finding did lead to further testing. Their post might be highlighting the process of getting more information and how they coped with the uncertainty. It’s crucial to understand that the medical system is designed to be cautious . When a potential flag is raised, even a common one, it’s better to check it out thoroughly than to ignore it. Your healthcare provider’s role is to balance reassurance with necessary vigilance. They will communicate with you clearly about what they see, what it might mean, and what the next steps are. Never hesitate to ask questions . If your doctor recommends further testing, ask why, what they are looking for, and what the potential outcomes are. Understanding the ‘why’ behind the ‘what’ can significantly reduce anxiety and empower you to make informed decisions about your pregnancy care. Remember, these detailed checks are a testament to how much care is taken to ensure the health of you and your baby.

The Takeaway: Trust Your Healthcare Team

So, let’s wrap this up, guys. If you’ve seen ‘IOSC H OWSC Common’ floating around Reddit after your 20-week scan and it’s sent a shiver down your spine, take a deep breath. This is likely a forum-specific shorthand for common, often benign, findings that sonographers see regularly. Think of things like bright spots in the heart (EIFs) or small cysts in the brain (CPCs). While these can sometimes be associated with genetic conditions, in the vast majority of cases , they are isolated findings that resolve on their own and have no impact on your baby’s health. The real important piece of information is what your doctor or midwife tells you. They have access to all the details of your scan, your medical history, and can interpret these findings in the context of your individual pregnancy. Reddit is a fantastic resource for emotional support and shared experiences , but it’s not a diagnostic tool. If you have concerns, the absolute best course of action is to reach out to your healthcare provider . They are your most reliable source of information and will guide you through any necessary steps. Trust in their expertise, ask all the questions you have, and try to enjoy the rest of your pregnancy journey. A healthy baby is the ultimate goal, and your medical team is there to help you achieve that. Stay informed, stay calm, and focus on the incredible miracle growing inside you!